【技术解码】从“乳牙撑岗”到咬合重建:15岁少年口腔修复的全流程技术复盘
2015年春天,一位母亲带着年幼的儿子走进深圳某口腔诊所。彼时,她还不知道这条求医之路将长达十年。
病例定性:重度非综合征性先天缺牙的诊断困局
先天缺牙的诊断本身并不复杂。CBCT影像下,牙胚缺失一目了然。真正的挑战在于:如何在颌骨持续发育的背景下,制定一套能够伴随患者成长的修复方案。
小文(化名)的特殊性在于:15岁时口内仅存2颗恒牙(编号15、25),其余均为乳牙。乳牙的牙根结构本就不同于恒牙——更细、更短、固位力更弱。当咬合空间因长期磨损严重不足时,传统冠修复几乎无从下手。
核心难题拆解:四个维度构成的技术壁垒
张静亚医生团队接诊后,将病例拆解为四个独立又相互关联的技术难点:
第一,咬合空间不足。乳牙磨耗导致垂直距离降低,上下牙列失去正常咬合关系;第二,乳牙牙体薄弱。牙根纤细意味着修复体难以获得有效固位;第三,颌骨发育期限制。未成年患者不宜进行永久性修复;第四,牙槽骨骨量不足。缺乏恒牙胚刺激的区域,骨密度普遍偏低。
这四个问题相互缠绕,任何单一科室都无法独立解决。
多学科协作路径:从咬合板到树脂冠的精准执行
治疗团队采用MDT模式(多学科会诊),联合儿童口腔科、牙体牙髓科、修复科、种植科四方力量。决策链路如下:
第一步,咬合板预治疗。通过可调节式咬合板重新建立垂直高度,让颞下颌关节和咀嚼肌群逐步适应新的咬合位置。这相当于施工前的标高定位。
第二步,数字化数据采集。口扫、CBCT、电子面弓三项技术联用,精准复刻口腔三维形态及下颌运动轨迹。这一步的精度直接决定后续修复体的适配度。
第三步,过渡性树脂冠制作。选用树脂材料的逻辑在于:其磨耗特性可随颌骨发育自适应,避免频繁更换。3D打印导板辅助定位,分段粘接微调,确保每颗冠的咬合接触点均匀分布。
第四步,精细调。团队以微米级精度逐点检查咬合关系,边缘打磨至光滑。整个过程耗时数小时,仅调环节就反复验证数十次。
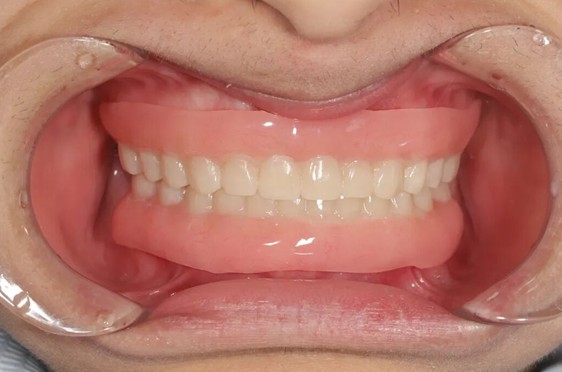
十年求医的终点:不是治愈,而是重建开始
完成树脂冠咬合重建后,小文的面下1/3高度得到恢复,咬合功能重建完成。但张静亚医生明确表示:当前方案属于过渡性修复。
两年后待小文成年,将评估颌骨发育状况,决定是否更换为全瓷冠等永久性修复体。若骨量条件改善,可进一步考虑种植牙。
这个案例的核心启示在于:复杂口腔病例的治疗不是单一节点的成功,而是贯穿患者成长周期的系统工程。技术选择需兼顾当下疗效与长期预后,多学科协作是突破单科诊疗天花板的唯一路径。
